Последвайте ни!
Истории на пациенти, информативни видеа, конкурси и много повече в нашите социални медийни профили.

Редица двойки по света страдат от безплодие, като един от най-ефективните методи за справяне с този проблем е инвитро оплождането, което е тип асистирана репродуктивна технология (АРТ).
Инвитро оплождането представлява основен начин за лечение на безплодие, в случаите когато останалите АРТ методи са безуспешни, от които най-популярен е вътрематочната инсеминация.
Успешността на дадена инвитро процедура може да се повлияе от различни фактори, като на някои от тях пациентите могат директно да повлияят.

Процедурата по инвитро оплождането се дели на няколко основни етапа:
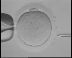
Обяснено по-подробно, лечението чрез инвитро включва хормонално контролиране на овулацията и получаване на сперматозоиди и яйцеклетки, след което се поставят заедно в течна среда, за да могат яйцеклетките да бъдат оплодени от сперматозоидите и да се превърнат в зиготи.
След това зиготите се връщат обратно в матката на пациентката с цел реализиране на успешна бременност.
При процеса на инвитро оплождане трябва да се осъществява оплождане на една или няколко на брой яйцеклетки извън тялото на жената с цел получаване на ембриони. След това получените ембриони се връщат обратно в матката на жената.
Съществува мит, че една пациентка не може да повлияе на шанса за зачеване. Всъщност това твърдение е невярно, тъй като според специалистите по репродуктивна медицина, преди една пациентка да започне инвитро процедура има възможност тя да повлияе на шанса за успешност на лечението.
За повишаването на шанса за бременност постигната по метода на инвитро оплождане информираността на пациентката е от огромно значение.
Затова и тук в тази статия ще разгледаме въпроса за това кои фактори могат в най-голяма степен да повишат шанса за имплантация при IVF.
Също така ще ви дадем допълнителни препоръки за това кое работи или не работи за повишаване на шанса за успешно имплантиране.

Броят и качеството на получените яйцеклетки се един от факторите, който в най-голяма степен повлияват шанса за успешно имплантиране при IVF. Съответно увеличаването на техния брой чрез стимулиране на овулацията увеличава шанса за бременност.
С цел стимулиране на развитието на повече фоликули в яйчниците на пациентката се изписва прием на хормонални препарати, които стимулират овулацията.
Повече фоликули означава по-голямо количество яйцеклетки, което съответно повишава шанса за зачеване.
Видовете хормонални препарати и дозите, в които да се приемат, са строго индивидуални за всяка пациентка и се предписват от лекуващия гинеколог.
Проследяването на овулацията се случва в лабораторни условия и главно с помощта на изследвания на хормони, като това са обикновено естрадиол, лутеинизиращ хормон (E2, LH), както и с ехографско изследване.
Прегледът на ехограф се препоръчва да се направи между 2 – ия и 4 – ия ден от месечния цикъл.
Овулацията може да се проследи също и с влагалищна цитонамазка, цервикален скор и други методи за изследване.
Най-често зрелите яйцеклетки се намират във фоликули с размери по-големи от 15 мм. в диаметър. Но факт е, че не всички яйцеклетки са годни за оплождане и не във всички фоликули има яйцеклетки.
Оценка на състоянието на яйчниковия резерв може най-добре да се направи с помощта на изследване на Антимюлеровия хормон (АМH).
Проблемите на матката и маточната лигавица са едни от основните рискови фактори за безплодие.
Вътре в матката има специален слой (ендометриум), който всеки месец е готов да приеме ембрион и да се осъществи имплантиране. Ако такова не се осъществи, то, както знаем започва менструалният цикъл и натрупаната ендометриална лигавица се изхвърля.
Едно от главните неща, които допринасят най-много на успешното ембрионално имплантиране е ембрионалната рецептивност (наречена също маточна възприемчивост).

Когато е готов за имплантиране на ембрион, ендометриумът е възприемчив, като това се случва най-често 5 – 7 дни след овулация, или в периода между 18 – ти и 21 – ви ден от месечния цикъл.
Този период на възприемчивост се определя като “имплантационен прозорец” и в рамките на този период шансът за имплантиране на ембрион в матката е по-висок.
Извън имплантационния прозорец съответно шансовете за успешно имплантиране на ембрион значително намаляват.
При определен брой жени този имплантационен прозорец се случва през различен от обичайния период, което съответно води до по-нисък шанс от успешно зачеване при инвитро.
Един от отскоро познатите начини за изследване на ендометриума (маточната лигавица) е ултразвуково сканиране, като преди него е нямало достъпен аналитичен метод за преглед на състоянието на ендометриума.
Състоянието на матката може най-ясно да се определи чрез преглед с ултразвук. При този преглед могат да се изключат факторите, които могат да възпрепятстват процеса по имплантиране и реализиране на успешна бременност.
Чрез ехографски преглед могат да се открият патологични образувания, миоми, полипи, аномалии (например двурога матка) и други.
Откриването на течност в тръбите (наречена “хидросалпингс”) е още един от факторите, които намаляват шанса за успешно зачеване след инвитро процедура.
Качеството на сперматозоидите при партньора е също от значение. Правилният избор на инвитро процедура, която да е подходяща и щадяща за пациентите, се базира на оценката на сперматозоидите (каква е тяхната концентрация, морфология, подвижност).

Лайфстайл фактори като начин на хранене, ниво на стрес в ежедневието, наличието на вредни навици може също да повлияе на шанса за имплантиране на ембрион при инвитро.
Специалистите обикновено препоръчват на пациентките да избягват силния стрес в ежедневието си. Но по отношение на това доколко стресът може да повлияе на успешността на ембрионалното имплантиране данните са спорни и няма действителни доказателства за пряка връзка между стреса и ниска успешност на процедурата по ин витро оплождане.
Тютюнопушенето, консумацията на алкохол и приемането на лекарства са едни от нещата, които понижават шанса за успешно зачеване чрез инвитро.
Един от често срещаните митове за инвитро лечението е, че след ембриотрансфер е добре жената да е в легнало положение. Всъщност медицинските изследвания показват, че лежането след ембриотрансфер не повлиява по никакъв начин на шанса за имплантиране на ембриони.
Други методи, които се считат за полезни за увеличаването на шанса за успешно имплантиране при инвитро, са акупунктура и прием на билкови хранителни добавки.
Но няма още конкретни данни, които да доказват връзка между тях и повишен шанс от имплантиране на ембрион при IVF.
Нека да ви се обадим възможно най-скоро относно темите, по които искате да се консултирате.


