Последвайте ни!
Истории на пациенти, информативни видеа, конкурси и много повече в нашите социални медийни профили.

Безплодието е един от здравословните проблеми, с които се сблъскват хиляди двойки в страната и по света. Благодарение обаче на технологиите по асистирана репродукция (наречени АРТ технологии), вече все повече хора, при които е невъзможно да имат дете по естествен път, могат да усетят радостта от това да имаш свое бебе.
Една от тези медицински технологии е асистираният хетчинг с лазер, благодарение на който се постига по-голяма успешност при реализирането на успешна бременност.

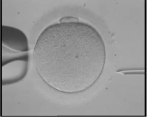
Асистираният хетчинг с лазер представлява тип лабораторна технология за асистирана репродукция, която се прави преди ембрионалния трансфер. Както и името на процедурата подсказва, тя включва употребата на лазер, с чиято помощ се изтънява или пробива удебелената зона на ембриона преди обратния му трансфер в тялото на пациентката.
Главната му цел е подпомагане на естественото излюпване на ембриона, което понякога не е възможно. С негова помощ така нареченето “излюпване” на ембриона се случва по-лесно, когато е дошъл моментът за неговото имплантиране в маточната лигавица.
Този микрохирургичен метод включва изкуствено изтъняване или разкъсване на зона пелуцида, чрез лазер ,която представлява защитната обвивка на ембриона.
При този метод лазерът пробива малък отвор в една част от обвивката на ембриона. След като ембрионът порастне, той излиза през създадения от лазера отвор, докато не напусне зона пелуцида.
Този тип процедура се прилага при ембриони с по-дебела обвивка и се изпълнява в ембриологична лаборатория от ембриолог.
Асистираният хетчинг може да се извърши по няколко начина – механично със специална микропипета, чрез лазер, чрез химично вещество. Асистираното излюпване чрез лазер е най-често използваният и предпочитан метод за изтъняване на зона пелуцида.
На употребата на лазер се дължи и ефективността на самия микрохирургичен метод. Лазерът позволява по максимално прецизен и минимално травматичен начин да се премахват образувания, които не позволяват на ембриона да излезе от защитната си обвивка.

С помощта на асистирания хетчинг ембрионите се поставят в хранителна среда в инкубатор, което позволява лесното им разглеждане под микроскоп. При тази процедура се използва специална софтуерна програма, с чиято помощ се изчисляват размерите на обвивката на всеки ембрион. Това се прави с цел точно позициониране на лазерния лъч върху ембрионалната обвивка.
Едни от неговите предимства са скоростта му на изпълнение и малката продължителност на престой на ембриона извън инкубатора, който и единствено предлага оптимални условия за ембрионално развитие. След като се размразят ембрионите се оставят за определен период от време в инкубатора, за да се адаптират към условията.
В периода на първите 3 и 6 дни от своето развитие даден ембрион разполага със защитена външна обвивка , наречена зона пелуцида (zona pellucida), която играе важна роля за самия ембрион.
Отварянето на външната обвивка на ембриона се нарича “излюпване” и то е необходимо, за да може да се осъществи успешно имплантиране в лигавицата на матката.
Излюпването на ембриона е естествен процес, който се случва преди имплантирането му в лигавицата на матката.Той е и необходимо условие за настъпването на бременност. За съжаление този процес не винаги е възможно да се случи по естествен начин.
Ембрионалното излюпване може да бъде затруднено или напълно невъзможно поради удебеляване на защитната мембрана на ембриона, която в различните случаи може да има различно ниво на твърдост.
Понякога се случва в зона пелуцида да има удебеляване, което съответно затруднява излизането на ембриона през нея.Удебеляване на защитната обвивка на ембриона се случва най-често по време на замразяване и размразяване на ембриони. Затова и асистираният хетчинг е предпочитан метод по време на ембриотрансфер с размразени ембриони.
Зона пелуцида осигурява защита за ембриона, докато той се придвижва към матката след своето образуване. За да може ембрионът да излезе от своята защитна обвивка, то тя трябва да бъде изтънена.
При нормални условия когато ембрионът достигне матката, защитната му обвивка се разтваря, което позволява успешното му имплантиране. Разтварянето на обвивката е улеснено от факта, че при нея стартира процес на изтъняване.

През петия ден от развитието на ембриона (наречен стадий бластоцист) обвивката му вече трябва да е изтънена. След 5-тия или 6-тия ден се очаква тя да се разкъса.
При замразяване и размразяване на ембриони по време на криоконсервация има шанс за нехарактерно втвърдяване на защитната обвивка на ембриона. Това втвърдяване не застрашава живота на ембрионите, но затруднява тяхното очаквано излизане, което е необходимо условие за настъпването на бременност.
Едно от нещата, които водят до втвърдяване на зона пелуцида при замразени и размразени ембриони, е видът на използваните криопротектори (специални вещества, които защитават клетките при процеса на замразяване и размразяване).
Друг фактор е голямата температурна разлика, на която се подлагат ембрионите. Тяхното отглеждане се случва при температура над 37°C, докато замразяването и съхранението им става при температура от минус 196°C в среда с течен азот.
Затова и без значение дали ембрионите са навлезли в бластоцистен стадий, изпълняването на асистиран хетчинг става наложително за осъществяването на успешно ембрионално имплантиране.
Специалистите смятат, че удебеляване на дадена зона на ембриона може да бъде причина за стерилитет при една жена. Това удебеление затруднява така нареченото “излюпване” на ембриона и успешното му последващо имплантиране в матката. Подобна ситуация налага извършването на асистиран хетчинг с лазер, чието второ име е “асистирано излюпване”.

Асистиран хетчинг при ембриотрансфер на замразени бластоцисти се прави след като се извърши селектиране на точно тези бластоцисти, които най-добре са преживели.
Освен за жени с ембриони с удебелена зона, асистираният хетчинг е препоръчителна процедура за жени над 35 годишна възраст, при които най-често се наблюдава изчерпано количество яйчници. Той е подходящ за двойки, които имат неуспешни инвитро опити зад гърба си, както и при наличие на замразени ембриони.
Прилагането на асистиран хетчинг се изисква при няколко ситуации. Той се прави при размразяване на ембриони за ембриотрансфер, намален яйчников резерв и високо ниво на FSH хормона, при бъдеща биопсия на ембрионите за нуждите на (ПГС) предимплантационен генетичен скрининг.
ПГС се препоръчва да се направи след два неуспешни опита за зачеване. Асистираният хетчинг не води до риск от нарушение на целостта на ембриона.
Както вече споменахме асистираният хетчинг показва добри резултати сред двойките страдащи от безплодие.
Асистираният хетчинг може да се използва в комбинация с един нов метод за асистирано зачеване наречен Embryoglue (ембрио лепило). Embryoglue технологията се прилага по време на прехвърляне на ембриона в матката. С помощта на лепилото ембриона може да се прикрепи по-добре към тъканите на ендометриума.
Този метод за асистирана репродукция увеличава с 25% шанса за настъпване на бременност. Подходящ е за жени в по – напреднала възраст и двойки с няколко неуспешно инвитро процедури.
Нека да ви се обадим възможно най-скоро относно темите, по които искате да се консултирате.


